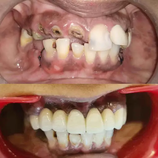
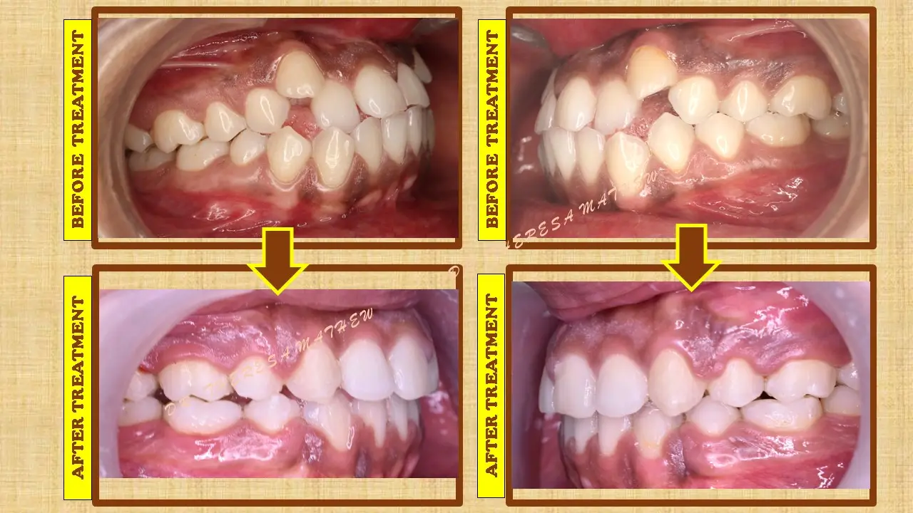
Please feel free to contact our friendly reception staff with any general or medical enquiry.
We have 3 branches across Ernakulam.
PC Rd, above Union Bank, Ponnurunni East, Chalikkavattom, Kaloor 682019
8139862116, 9846280375
sarasdgpvm@gmail.com
Get Direction
Mount Carmel Dental Care Orthodontic & Implant Center, Pathanapuram
8921062632, 9846280375
docdeepamathew@gmail.com
Maria Hospital Dental Clinic Orthodontic Center, Adoor
9633382649, 9633440897